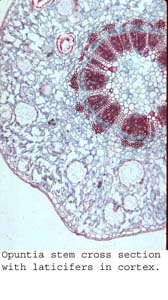
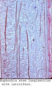
Laticifers
Curtis, Lersten, and Nowak
2002

anat0775 anat0776 anat0777 anat0778 anat0779
anat0780 SEM0059      

Link to UWSP content disclaimer page